Teeth Whitening in Hewitt, TX

Brighten Your Smile

If you suffer from stained or discolored teeth, it can be difficult to smile with confidence. Thankfully, our Hewitt cosmetic dentists offer in-office and at-home teeth whitening solutions. We pride ourselves on providing effective, convenient, and comfortable treatments.

Everyone deserves a smile they feel great about showing off. Explore our guide below to learn more about how you can brighten your smile and enhance your self-esteem.

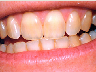
Before
After

What Causes Stained Teeth?

Various factors contribute to the staining and discoloration of teeth. The main causes include: 

  • Oral Hygiene — The most common way that teeth develop stains is due to a lack of oral hygiene. Make sure to brush and floss daily, in addition to visiting our office twice a year for cleanings.
  • Tobacco — Smoking or chewing tobacco leaves nicotine stains on your teeth, causing them to appear yellow. The carcinogens in cigarettes can cause decay and discoloration as well.
  • Certain Diets — Some drinks known to stain teeth include coffee, tea, red wine, and soda. Foods like berries, pomegranates, and curry may also stain your teeth.
  • Aging — Your teeth will inevitably lose some of their natural whiteness as you get older. Stains may also appear in parts of your teeth where the enamel has worn down.

KöR Whitening

teeth whitening kit

The KöR Whitening Deep Bleaching™ System uses customized trays and a patented bleaching gel to deliver stunning results in a short amount of time. It’s designed with your comfort and convenience in mind, allowing you to whiten your teeth in the comfort of your own home without the need for special lights or lasers.

We also feature an in-office option for patients seeking faster results. If you choose this option, you can achieve your smile goals in just a few short appointments. Your dentist will still provide you with trays to take home for periodic maintenance, helping your new smile last for many years to come.

KöR whitening is strong enough to remove tetracycline stains, and you can even enjoy beverages like coffee and red wine after treatment without ruining your results. It’s also safe for patients aged 14 to 90, so teenagers and elderly patients can enjoy the same advantages.

Schedule Your Teeth Whitening Appointment Today!

Teeth whitening is a quick and pain-free solution to a stained smile. Restore your confidence with a brighter smile that you’re proud to show off. 

Call our Hewitt dental practice at (254) 666-1686 to schedule a consultation with one of our dentists. Whether you choose in-office or at-home teeth whitening, we’re happy to help provide you with a shining, whiter smile.

Frequently Asked Questions

Is tooth sensitivity normal after a whitening treatment?

No, your teeth should not feel sensitive after a professional whitening treatment. Our practice proudly uses the KöR Whitening Deep Bleaching System to tackle deep stains and go beyond the tooth’s surface. It’s safe, strong, and provides results almost immediately after treatment. With KöR Whitening, you’ll enjoy all the benefits of teeth whitening without the damaging effects of store-bought treatments.

How can I maintain a whiter smile?

After a teeth whitening treatment, it’s important to take care of your smile to prevent further staining and avoid possibly damaging your teeth. Use a soft-bristled brush with lukewarm water when cleaning your teeth, and avoid hot or cold foods for at least a day. Our Hewitt dentists recommend increasing the time between treatments, lowering the amount of time spent whitening, and using less-concentrated bleaching gel.

How does KöR Whitening stand out from at-home whitening treatments?

The KöR Whitening Deep Bleaching System requires continuous refrigeration to ensure the gel is as fresh and potent as it was the day it was made. This incredible whitening treatment can brighten your teeth up to six shades, in as little as three appointments. After just two weeks, patients can expect incredible, unmatched results with a smile that’s up to 16 shades brighter. 

What is the difference between in-office and at-home teeth whitening treatments?

With in-office whitening treatment, patients can expect faster results and brighter effects. Here at Central Texas Dental Care, we use stronger, more effective bleaching concentrations that over-the-counter treatments can’t match. In-office whitening goes beyond surface-level stains and gets down to the enamel, while at-home whitening can only eliminate stains on the tooth’s surface. 

Central Texas Dental Care

Central Texas
Dental Care

Central Texas Dental Care provides comprehensive and personalized dental care using state-of-the-art techniques and technology. Some of our featured services include:

To request an appointment, please fill out our online form or call our office today at (254) 666-1686.

Contact Us Today

Rate, Review & Explore

Social Accounts Sprite